Shoreland Dental
David Azenheimer, DMD
Call Today

Smile Gallery

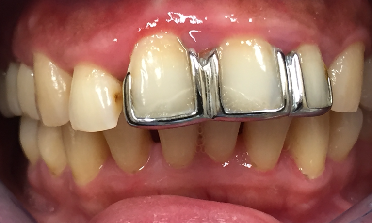
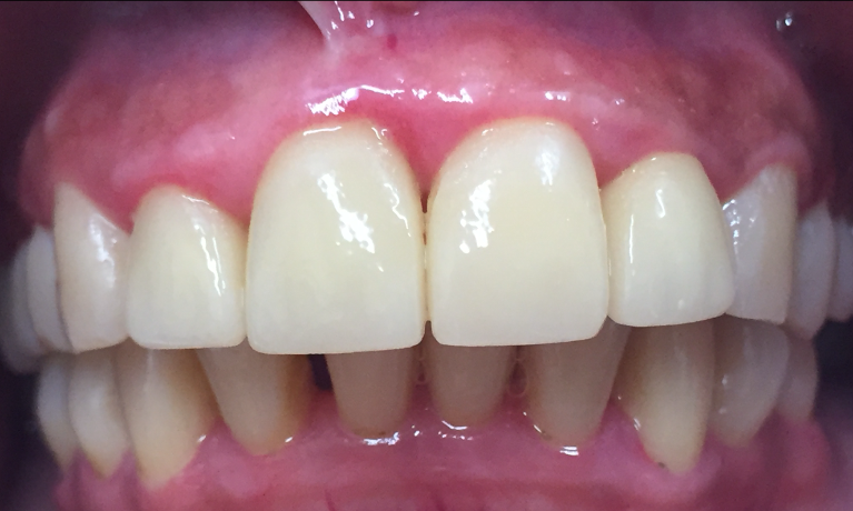
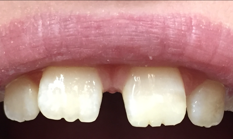
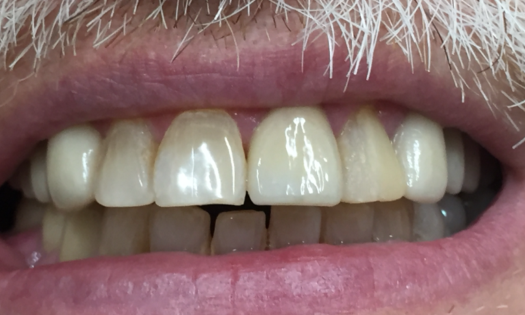
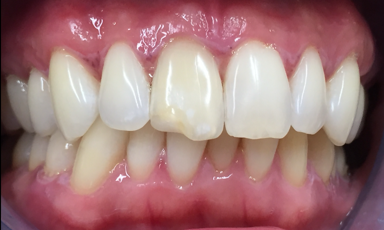
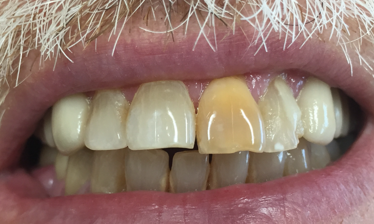
We truly enjoy helping people achieve a beautiful smile! Dr. Dave takes his time to make sure your treatment is done right, looks great, and feels comfortable.

Here are some photos of our actual patients that you can look through while you imagine the possibilities when it comes to your own smile.

Getting an appointment is fast and easy!
Smile Gallery Categories
Shoreland Dental: Patient Testimonial 9/17/19
If you have difficulty using our website, please email us or call us at (732) 264-2117
View the ADA Accessibility Statement
Privacy Policy